
تحدث عدوى المكورات العنقودية الذهبية المقاومة للميثيسيلين بسبب أحد أنواع البكتيريا المكورة العنقودية المقاومة للعديد من المضادات الحيوية المستخدمة لعلاج عدوى المكورات العنقودية العادية.
تحدث معظم عدوى المكورات العنقودية الذهبية المقاومة للميثيسيلين بين الأشخاص المترددين على المستشفيات أو أماكن الرعاية الصحية الأخرى مثل دور رعاية المسنين ومراكز غسيل الكلى. وعندما تحدث العدوى في هذه الأماكن، فإنها تُعرف باسم المكورات العنقودية الذهبية المقاومة للميثيسيلين والمرتبطة بمنشآت الرعاية الصحية. ترتبط عدوى المكورات العنقودية الذهبية المقاومة للميثيسيلين والمرتبطة بمنشآت الرعاية الصحية عادةً بالعمليات أو الأجهزة المتوغّلة، مثل العمليات الجراحية أو الأنابيب الوريدية أو المفاصل الاصطناعية. يمكن أن تنتشر المكورات العنقودية الذهبية المقاومة للميثيسيلين والمرتبطة بمنشآت الرعاية الصحية من خلال العاملين في مجال الرعاية الصحية الذين يلمسون الأشخاص بأيدٍ غير
نظيفة أو من خلال لمس الأسطح غير النظيفة.
ويحدث نوع آخر من عدوى المكورات العنقودية الذهبية المقاومة للميثيسيلين في المجتمع الأوسع نطاقًا، بين الأشخاص الأصحاء. ويبدأ نوع المكورات العنقودية الذهبية المقاومة للميثيسيلين المرتبط بالمجتمع عادةً في شكل دُمَّل جلدي مؤلم. وينتشر عادةً عبر تلامس الجلد. وتتضمن الفئات المعرضة للخطر الطلاب الذين يمارسون رياضة المصارعة في المدارس والعاملين في مجال رعاية الطفل والأشخاص الذين يعيشون في المناطق المزدحمة.
الأعراض
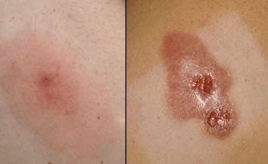
تظهر عدوى الجلد البكتيرية، بما في ذلك بكتيريا المكورات العنقودية الذهبية عامة كحدبات حمراء متورمة ومؤلمة، وقد تشبه البثور أو لدغات العنكبوت. قد تكون المنطقة المصابة:
• دافئة الملمس
• مليئة بالصديد أو إفرازات أخرى
• مصحوبة بالحمى
عدوى المكورات العنقودية
وتبدأ حالات عدوى المكورات العنقودية الذهبية المقاومة للميثيسيلين التي تصيب الجلد على شكل كدمات حمراء صغيرة يمكن أن تتحوَّل بسرعة إلى خراجات عميقة ومؤلمة.
ويمكن أن تتحول الحدبات الحمراء سريعًا إلى دمامل عميقة ومؤلمة (خراجات) تتطلب تصريفًا جراحيًا. يقتصر وجود البكتيريا في بعض الأحيان على الجلد فقط. ومع ذلك تتغلغل البكتيريا عميقًا في الجسم وتسبب عدوى محتملة تهدد الحياة في العظام والمفاصل والجروح الناتجة عن العمليات الجراحية ومجرى الدم وصمامات القلب والرئتين.
نظرة عامة
تحدث عدوى المكورات العنقودية الذهبية المقاومة للميثيسيلين بسبب أحد أنواع البكتيريا المكورة العنقودية المقاومة للعديد من المضادات الحيوية المستخدمة لعلاج عدوى المكورات العنقودية العادية.
تحدث معظم عدوى المكورات العنقودية الذهبية المقاومة للميثيسيلين بين الأشخاص المترددين على المستشفيات أو أماكن الرعاية الصحية الأخرى مثل دور رعاية المسنين ومراكز غسيل الكلى. وعندما تحدث العدوى في هذه الأماكن، فإنها تُعرف باسم المكورات
العنقودية الذهبية المقاومة للميثيسيلين والمرتبطة بمنشآت الرعاية الصحية. ترتبط عدوى المكورات العنقودية الذهبية المقاومة للميثيسيلين والمرتبطة بمنشآت الرعاية الصحية عادةً بالعمليات أو الأجهزة المتوغّلة، مثل العمليات الجراحية أو الأنابيب الوريدية أو المفاصل الاصطناعية. يمكن أن تنتشر المكورات العنقودية الذهبية المقاومة للميثيسيلين والمرتبطة بمنشآت الرعاية الصحية من خلال العاملين في مجال الرعاية الصحية الذين يلمسون الأشخاص بأيدٍ غير نظيفة أو من خلال لمس الأسطح غير النظيفة.
يحدث نوع آخر من عدوى المكورات العنقودية الذهبية المقاومة للميثيسيلين في المجتمع الأوسع نطاقًا، بين الأشخاص الأصحاء. ويبدأ نوع المكورات العنقودية الذهبية المقاومة للميثيسيلين المرتبط بالمجتمع عادةً في شكل دُمَّل جلدي مؤلم. وينتشر عادةً عبر تلامس الجلد. وتتضمن الفئات المعرضة للخطر الطلاب الذين يمارسون رياضة المصارعة في المدارس والعاملين في مجال رعاية الطفل والأشخاص الذين يعيشون في المناطق المزدحمة.
الأعرراضتظهر عدوى الجلد البكتيرية، بما في ذلك بكتيريا المكورات العنقودية الذهبية عامة كحدبات
حمراء متورمة ومؤلمة، وقد تشبه البثور أو لدغات العنكبوت. قد تكون المنطقة المصابة:
• دافئة الملمس
• مليئة بالصديد أو إفرازات أخرى
• مصحوبة بالحمى
عدوى المكورات العنقودية
تبدأ حالات عدوى المكورات العنقودية الذهبية المقاومة للميثيسيلين التي تصيب الجلد على شكل كدمات حمراء صغيرة يمكن أن تتحوَّل بسرعة إلى خراجات عميقة ومؤلمة.
يمكن أن تتحول الحدبات الحمراء سريعًا إلى دمامل عميقة ومؤلمة (خراجات) تتطلب تصريفًا جراحيًا. يقتصر وجود البكتيريا في بعض الأحيان على الجلد فقط. ومع ذلك تتغلغل البكتيريا عميقًا في الجسم وتسبب عدوى محتملة تهدد الحياة في العظام والمفاصل والجروح الناتجة عن العمليات الجراحية ومجرى الدم وصمامات القلب والرئتين.
الأسباب
توجد أنواع مختلفة من بكتيريا المكورات العنقودية الذهبية المعروفة باسم "العنقوديات". وتنشط بكتيريا العنقوديات عادةً على الجلد أو الأنف في ثلث الأفراد تقريبًا. والبكتيريا بشكل عام غير ضارة ما لم تدخل الجسم من خلال قطع أو جرح آخر، وحتى في هذه الحالة لا تُسبب عادة إلا مشكلات جلدية طفيفة في الأشخاص الأصحاء.
وفقًا لمراكز مكافحة الأمراض والوقاية منها، يحمل نحو 5% من الأشخاص بشكل مزمن نوع البكتيريا العنقودية المعروفة باسم المكورات العنقودية الذهبية المقاومة للميثيسيلين.
مقاومة المضادات الحيوية
تحدث عدوى المكورات العنقودية الذهبية المقاومة للميثيسيلين نتيجة لاستخدام المضادات الحيوية على مدار عقود دون حاجة لذلك. وقد كانت المضادات الحيوية توصف على مدى سنوات لعلاج نزلات البرد والإنفلونزا وغيرها من حالات العدوى الفيروسية التي لا تستجيب لهذه الأدوية. لكن حتى عندما تُستخدم المضادات الحيوية بشكل صحيح، فإنها تؤدي إلى زيادة البكتيريا المقاومة للدواء، إذ إنها لا تقضي على جميع الجراثيم التي تستهدفها. تعيش البكتيريا بوتيرة متطورة وسريعة، ولذلك سرعان ما تتعلم الجراثيم التي تنجوا من العلاج بأحد المضادات الحيوية كيفية مقاومة غيره.
عوامل الخطورة
نظرًا إلى أن نشوء سلالات عدوى المكورات العنقودية الذهبية المقاومة للميثيسيلين المرتبطة بالمستشفى أو المجتمع في بيئات مختلفة عمومًا، فإن عوامل الخطر لكل واحدة من السلالتين تختلف.
عوامل خطر البكتيريا العنقودية الذهبية المقاومة للميثيسيلين المكتسبة من المجتمع
• الاحتجاز في المستشفى. تشكل المكورات العنقودية الذهبية المقاومة للميثيسيلين خطرًا كبيرًا في المستشفيات؛ حيث إنها تهاجم الأشخاص الأكثر عرضة للإصابة، مثل البالغين الأكبر سنًا والمصابين بضعف جهاز المناعة.
• تركيب جهاز طبي متوغل. يمكن أن يوفر تركيب الأنابيب الطبية، مثل التركيبات الوريدية أو القسطرة البولية مسارًا تنتقل خلاله المكورات العنقودية الذهبية المقاومة للميثيسيلين إلى داخل الجسم.
• الإقامة في أحد مرافق الرعاية على المدى الطويل. تنتشر المكورات العنقودية الذهبية المقاومة للميثيسيلين في دور رعاية المسنين. وقد ينقل حاملو هذه المكورات العنقودية الذهبية المقاومة للميثيسيلين لآخرين حتى إن لم تظر عليهم أعراض الإصابة بها.
عوامل خطر بكتريا المكورات العنقودية الذهبية المقاومة للميثيسيلين المكتسبة من المجتمع
• المشاركة في رياضات تتطلب الاحتكاك الجسدي. قد تنتشر عدوى المكورات العنقودية الذهبية المقاومة للميثيسيلين بسهولة من خلال الجروح والخدوش والملامسة المباشرة للجلد.
• العيش في مناطق مزدحمة أو ظروف غير صحية. حدثت حالات تفشٍ لعدوى المكورات العنقودية الذهبية المقاومة للميثيسيلين في معسكرات التدريب العسكرية ومراكز رعاية الأطفال والسجون.
• الرجال الذين يمارسون الجنس مع رجال. يكون الرجال الذين يمارسون الجنس مع رجال أكثر عرضة لخطر الإصابة بحالات المكورات العنقودية الذهبية المقاومة للميثيسيلين.
• الإصابة بعدوى فيروس نقص المناعة البشري. تزيد احتمالية الإصابة بحالات المكورات العنقودية الذهبية المقاومة للميثيسيلين لدى الأشخاص المصابين بفيروس نقص المناعة البشري.
• تعاطي المخدرات غير المشروعة عن طريق الحقن. يصبح الأشخاص الذين يتعاطون المخدرات غير المشروعة عن طريق الحقن أكثر عرضة للإصابة بحالات المكورات العنقودية الذهبية المقاومة للميثيسيلين.
المضاعفات
يمكن أن تقاوم عدوى المكورات العنقودية الذهبية المقاومة للميثيسيلين تأثيرات الكثير من المضادات الحيوية الشائعة، لذا يصعب علاجها. وهذا يمكن أن يسمح للعدوى بالانتشار فتصبح أحيانًا مهددة للحياة.
قد تؤثر عدوى المكورات العنقودية الذهبية المقاومة للميثيسيلين فيما يلي:
• مجرى الدم
• الرئتان
• القلب
• العظام
• المفاصل

